Санкт-Петербург, ул. Садовая 35
Время работы: c 9:00 до 21:00
Услуга детальная

Дентальный фотопротокол в Grandmed

Профессиональная фотофиксация вашей улыбки

Фотопротокол в Grandmed — визуальная карта ваших зубов
Профессиональная фотофиксация полости рта 
01.
Профессиональная фотофиксация полости рта 

с использованием стоматологических  зеркал и ретракторов

  • Эстетического планирования улыбки
  • Документирования состояния зубов
  • Контроля результатов лечения
Точность цветопередачи
02.
Точность цветопередачи

  • Благодаря калиброванному оборудованию
  • Архив снимков хранится 10 лет
Почему это важно?
01
Видим невидимое
Обнаружение микротрещин
02
Точное планирование
Основа для виниров, реставраций и отбеливания
03
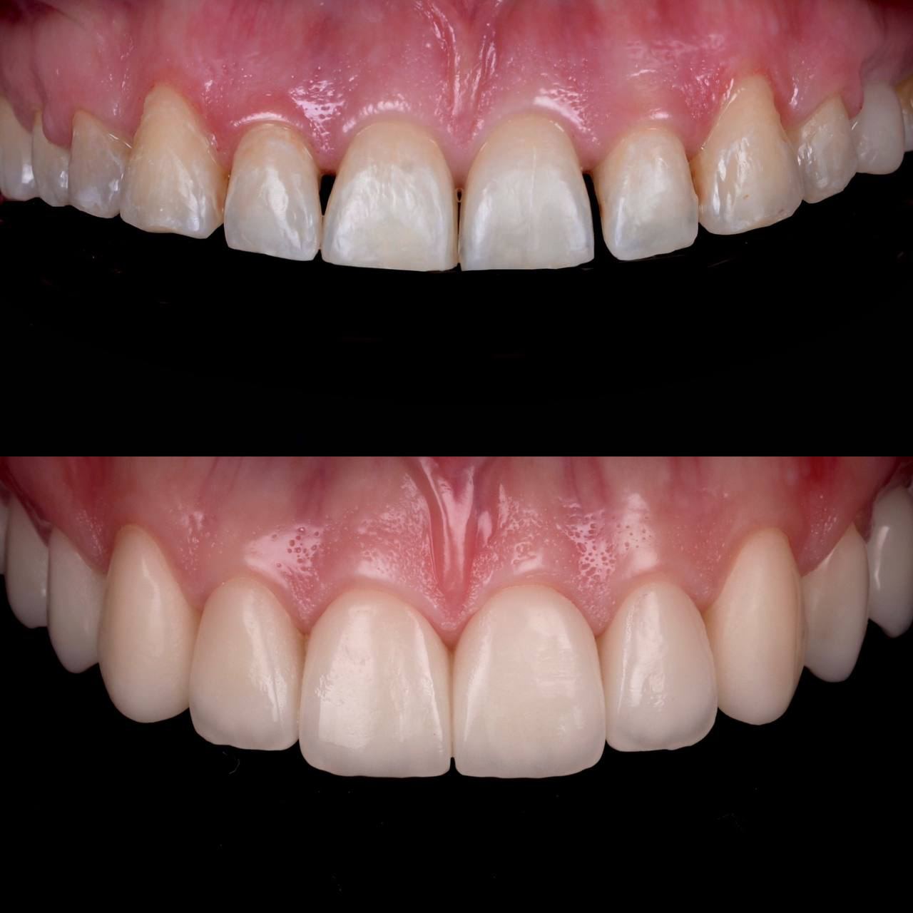
Контроль изменений
Объективное сравнение "до/после" лечения
Оборудование для безупречной визуализации
Canon EOS 90D + макролинзы
  • Профессиональная камера с разрешением 32.5 Мп
  • Специальные ретракторы и зеркала
  • Кольцевая вспышка для равномерного освещения
Используем калибровочные карты X-Rite для:
  • Точной передачи оттенков эмали
  • Единого стандарта на всех снимках
  • Контроля изменений после отбеливания
Процесс съемки за 25 минут
01
Подготовка
(очистка зубов)
02
Стандартные ракурсы
(12 снимков)
03
Специальные проекции
(улыбка, профиль,
прикус)
04
Обработка
(цветокоррекция)
05
Передача
(PDF-отчет +
цифровой архив)
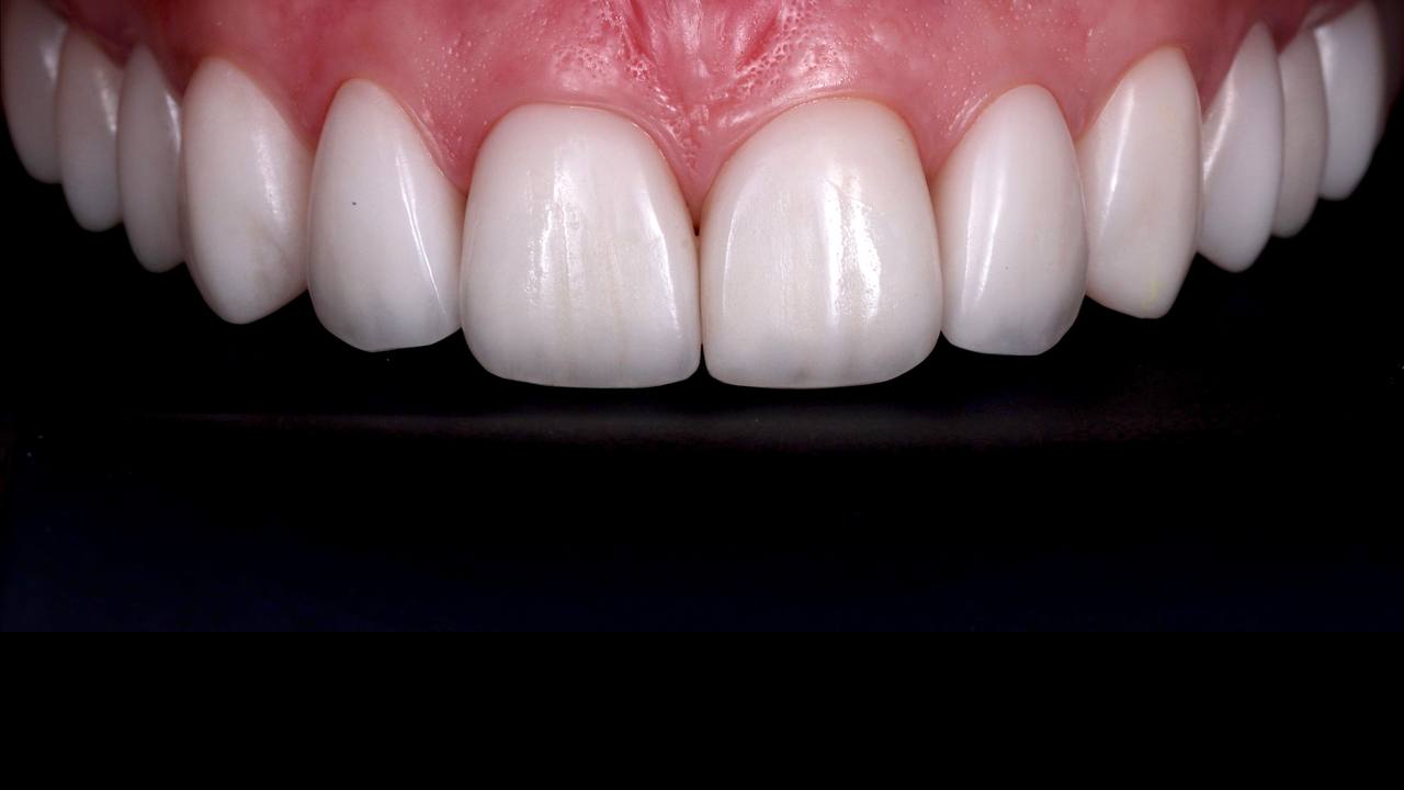
Фотопротокол в действии
Команда
Суходольский Леонид Борисович
Суходольский Леонид Борисович
Лицензии
license-slider-card
license-slider-card
license-slider-card
license-slider-card
license-slider-card
Другие услуги
Записаться на консультацию